Chronische Koronare Herzkrankheit

Auf dieser Seite ...

Chronische Koronare Herzkrankheit#

Die Koronare Herzkrankheit (KHK) ist eine Erkrankung der Herzkranzgefäße (Koronargefäße), bei der es zu einer Verengung der Gefäße kommt. Sie ist eine chronische Erkrankung, welche Folgeerkrankungen bedingt und in akuten Notfallsituationen resultieren kann. Je nachdem wieviele Koronargefäße betroffen sind, spricht man von einer 1-, 2- oder 3-Gefäßerkrankung (Term.: 1-, 2-, 3-Vessel-Disease bzw. Abkz.: 1-, 2-, 3-VD).

Das Herz mit seinen Koronargefäßen © Lena Hirtler, Das Herz mit seinen Koronargefäßen © Lena Hirtler,
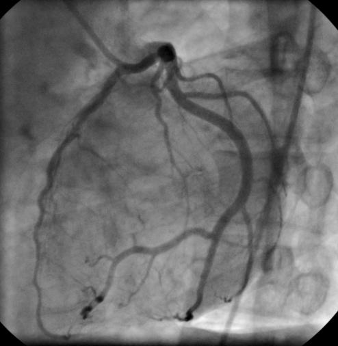
Darstellung der Herzkranzgefäße mittels Koronarangiographie: Bei einer Koronarangiographie (Herzkatheteruntersuchung) wird über eine periphere Arterie ein Katheter eingebracht und über die Aorta bis in die Koronargefäße vorgeschoben. Anschließend wird ein Kontrastmittel appliziert um die Gefäße mittels Röntgendurchleuchtung sichtbar zu machen. © WmCo "Bionerd", Darstellung der Herzkranzgefäße mittels Koronarangiographie: Bei einer Koronarangiographie (Herzkatheteruntersuchung) wird über eine periphere Arterie ein Katheter eingebracht und über die Aorta bis in die Koronargefäße vorgeschoben. Anschließend wird ein Kontrastmittel appliziert um die Gefäße mittels Röntgendurchleuchtung sichtbar zu machen. © WmCo "Bionerd",
Die Koronargefäße versorgen den Herzmuskel von außen nach innen. © Patrick Lynch, Die Koronargefäße versorgen den Herzmuskel von außen nach innen. © Patrick Lynch,

Fig. 133 Bilderserie: Koronargefäße#

Eine koronare Herzkrankheit kann lange Zeit symptomlos sein, bzw. nur durch eine verminderte Leistungsfähigkeit bei Anstrengung in Erscheinung treten. Durch die chronische oder auch akute Unterversorgung des Herzmuskels kann es zu einer Reihe von Folgeerkrankungen kommen, wie z. B.:

  • Herzinsuffizienz durch eine ischämische Kardiomyopathie

  • Angina pectoris

  • Akutes Koronarsyndrom bedingt durch einen Herzinfarkt oder eine instabile Angina pectoris

Diagnostik#

Die Koronarangiographie ist eine interventionelle röntgengestützte Untersuchung des Herzens bzw. der Herzkrankgefäße. Dabei wird über eine Arterie (klassisch über die Leistenarterie) ein Katheter eingebracht und bis zum Herz bzw. bis knapp vor das Herz zu den Abgängen der Koronargefäße aus der Aorta vorgeschoben. Anschließend wird ein Kontrastmittel appliziert um den Ventrikel (Ventrikulographie) bzw. die Gefäße (Koronarangiographie) mittels Röntgen sichtbar zu machen.

Bei der Koronarangiographie werden die Herzkranzgefäße auf signifikante Engstellen, welche das Substrat einer koronaren Herzkrankheit, eines akuten Koronarsyndroms bzw. eines Herzinfarktes darstellen, untersucht. Im Rahmen des Vorganges können diese Engstellen auch gleich behandelt werden (PCI , Percutaneous Coronary Intervention; PTCA , Perkutaneous Transluminal Coronary Angioplasty). Als Optionen stehen die Dehnung mittels eines Ballons und/oder die Einbringung eines Stents in das betroffene Gefäß zur Wahl. Ein Stent ist vom Prinzip aufgebaut wie ein sich selbst aufspannendes, schlauchförmiges Metallgitter, welches in das Gefäß eingebracht wird und dieses an der betreffenden Stelle aufdehnt. Es gibt unbeschichtete (BMS, Bare Metal Stent) und beschichtete (DES, Drug Eluting Stent) Stents.

SAMPLER: KHK#

Text 1

🄼edikation

Niedrigdosierte Acetylsalicylsäure (ASS; z. B. ThromboASS™, HerzschutzASS™) gehört zur Standardmedikation bei Herz-Kreislauferkrankungen. Nitrate, in Form von Sprays (z. B. Nitrolingual™), Kapseln oder Pflaster finden sich häufig bei fortgeschrittenen, symptomatischen Patienten. Andere Präparate die auf den Tonus der glatten Gefäßmuskulatur auswirken sind Molsidomin und Isosorbiddinitrat (Isoket™).

🄿atientengeschichte

Eine KHK ist häufig schon bekannt. Entscheidend sind Koronarangiographie- und Ergometer-Untersuchungen (“Belastungs-EKG”), sowie Echokardiographie-Befunde. Begleit- und Folgeerkrankungen sind häufig, z. B. eine ischänische Kardiomyapthie.

🅁

Klassische Risikofaktoren sind:

  • Rauchen

  • Arterielle Hypertonie

  • Hyperlipidämie

  • Diabetes mellitus

  • Positive Familienanamnese

  • Alter

textshjdfsanm

🄼edikation:

Niedrigdosierte Acetylsalicylsäure (ASS; z. B. ThromboASS™, HerzschutzASS™) gehört zur Standardmedikation bei Herz-Kreislauferkrankungen. Nitrate, in Form von Sprays (z. B. Nitrolingual™), Kapseln oder Pflaster finden sich häufig bei fortgeschrittenen, symptomatischen Patienten. Andere Präparate die auf den Tonus der glatten Gefäßmuskulatur auswirken sind Molsidomin und Isosorbiddinitrat (Isoket™).

🄿atientengeschichte:

Eine KHK ist häufig schon bekannt. Entscheidend sind Koronarangiographie- und Ergometer-Untersuchungen (“Belastungs-EKG”), sowie Echokardiographie-Befunde. Begleit- und Folgeerkrankungen sind häufig, z. B. eine ischänische Kardiomyapthie.

🅁:

Klassische Risikofaktoren sind:

  • Rauchen

  • Arterielle Hypertonie

  • Hyperlipidämie

  • Diabetes mellitus

  • Positive Familienanamnese

  • Alter