Ⓓ Neurologie (Disability)

Ⓓ Neurologie (Disability)#

Es wird die Bewusstseinsqualität (Orientierung zur Person, Raum, Zeit und Situation) oder, wenn angemessen, alternativ die Glasgow Coma Scale (GCS) bestimmt. Anschließend werden die Pupillen und deren Lichtreaktion untersucht. Die grobe Motorik wird an der oberen Extremität mittels Händedruck (Kraftprobe) überprüft, wenn angemessen (Auffälligkeiten bei der Untersuchung der oberen Extremität, vermutete Erkrankung, Verletzungsmuster bzw. Unfallhergang, …), wird auch die untere Extremität geprüft. Wenn der Verdacht auf neurologische Ausfälle besteht, muss überprüft werden ob der Patient Hände und Füße spüren und aktiv bewegen kann. Wenn erforderlich (neurologische Defizite, Hinweise auf Stoffwechselstörungen, …) erfolgt eine Blutzuckermessung.

Orientierung#

Es ist wichtig zu Überprüfen ob der Patient orientiert ist. Man unterscheidet dabei die Orientierung zu:

  • Person: Name, Alter.

  • Zeit: Tageszeit, Wochentag, Monat, Jahreszeit, Jahr?

  • Ort: Wo befindet sich der Patient gerade? (Stadt, Land, Adresse, Wohnung, Auto, etc.)

  • Situation: Was passiert gerade?

Glasgow Coma Scale (GCS)#

Die Glasgow Coma Scale ist eine spezielle Skala, welche der objektiven Einschätzung der Bewusstseinslage dient. Sie hat einen Wertebereich von 3—15 Punkten. Ein voll bewusstseinsklarer Patient hat 15 Punkte, ein schwerst bewusstseinsgestörter oder toter Patient 3 Punkte (nicht 0!). Bewertet werden die Augenöffnung, die beste verbale und die beste motorische Reaktion des Patienten.[1]

Befunde#

Erkennen lassen sich z. B. Desorientierung, pathologische Pupillenreaktionen (abnorme Weitung oder Engstellung, Differenz, verlangsamte oder fehlende Reaktion (Fixierung), Entrundung), motorische (Lähmungen) oder sensible (Kribbeln, Gefühlsverlust) Ausfälle sowie Zuckerstoffwechselstörungen.

Hirndruckzeichen#

Hirndruckzeichen deuten auf eine Erhöhung des Druckes innerhalb des Hirnschädels hin (Hirndruck, intrakranieller Druck). Eine solche Steigerung kann besonders bei Verletzungen oder blutigen Schlaganfällen vorkommen. Eine Hirndruckerhöhung wirkt sich negativ sowohl auf das Hirn selbst, als auch auf dessen Durchblutung aus (“Das Hirn drück sich selbst ab.”).

Zusammen mit anderen Befunden aus den vorangegangenen Schritten des Einschätzungsblockes können typische Kombinationen von Symptomen festgestellt werden:

  • Bewusstseinsstörungen

  • Übelkeit und Erbrechen, meist in Verbindung mit Kopfschmerzen

  • Atmung: Evtl. unregelmäßig

  • Kreislauf: Der Patient ist hyperton, aber bradykard (HF ↓, RR ↑), der Puls ist langsam, aber äußerst stark spürbar (Druckpuls).

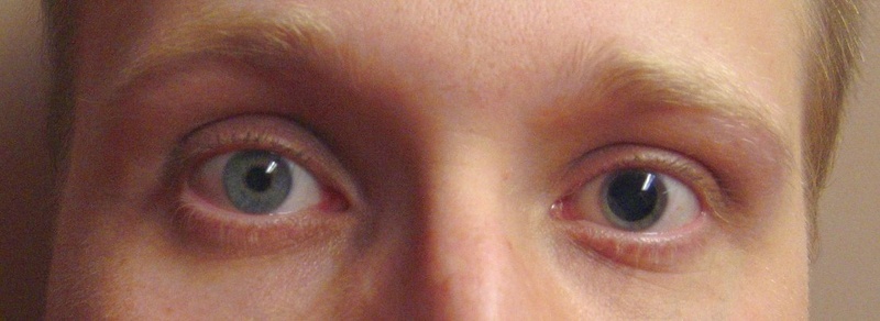
  • Pupillen: Typisch für das späte Stadium ist die Ungleichheit der Pupillen (Anisokorie), bzw. eine verlangsamte Lichtreaktion.

  • In schweren Fällen kommt es zu sog. Strecksynergismen, d. h. der Patient reagiert bei Schmerzreiz nur mit einem ungerichtetem Strecken der Extremitäten.

Typische Maßnahmen#

Anisokorie (Pupillendifferenz) © Gabriel, Anisokorie (Pupillendifferenz) © Gabriel,
Kraftprobe an den Armen © Michael Motal, Kraftprobe an den Armen © Michael Motal,
BZ-Messung © Michael Motal, BZ-Messung © Michael Motal,

Fig. 82 Bilderserie: D#