Thoraxdrainage#

Eine Thoraxdrainage wird durch die Brustwand in den Pleuraspalt oder das Mediastinum eingeführt und ermöglicht, Luft (Pneumothorax), Blut (Hämothorax) oder andere Flüssiggkeiten wie Chylus, Ex- oder Transsudate, Eiter usw. aus dem intrathorakalen Raum abzuleiten. Je nach klinischer Indikation gibt es unterschiedliche Drainagesysteme und -techniken.

Indikation#

  • Pneumothorax:

    • bei jeden beatmeten Patienten

    • Spannnungspneumothorax

    • großer Pneumothorax

    • persistierender oder rezidivierender Pneumothorax

  • Pleuraergüsse: Transudate und nicht infiziertes Exsudat in Abhängigkeit von

    • der Pleuraflüssigkeitsmenge und

    • der klinischen/respiratorischen Situation

  • Kompliziertes parapneumonisches Exsudat oder Empyem

  • Hämotothorax, Infusothorax, maligner Erguss

Exkurs: Pleuraerguss#

Durch Erhöhung des transpleuralen Drucks, einer Lymphabflussstörung oder einer erhöhten Permeabilität des mesothelialen oder kapillären Endothels kann es zu zu Trans- bzw- Exsudaten kommen.

Ein Transsudat ist chrakterisiert einen Proteinverhältnis Pleura:Serum von < 0,5 und einem LDH-Quotienten von < 0,6. Es tritt typisch bei Herzinsuffizienz, Leberzirrhose, nephrotisches Syndrom, Peritonealdialyse, Lungenembolie, Hypothyreose oder einer Mitralstenose auf.

Ein Exsudat ist charakterisiert durch ein Proteinverhältnis von > 0,5, einem LDH-Verhältnis > 0,6. Ist die Genese parapneumomnisch unterschiedet man zwischen einem unkomplizierten, komplizierten und ietrigen (Empyem) Exsudat. Zur Unterscheidung ist vor allem der pleurale pH und die pleurale Glukose- und LDH-Konzentration interessant:

Tab. 43 Parapneumonische Exsudate#

unkompliziert

kompliziert

Empyem

pH[Pleura]

> 7,2

<> 7,2;

← wie kompliziert + Eiter

LDH[Pleura]

< 1000

> 1000

Glukose[Pleura]

> 2,2 mmol/L

< 2,2 mmol/L;

evtl. +gram/Kultur

Weitere Ursachen können sein: Gastrointestinale Erkrankungen wie Pankreatitis, Ösophagusperforation (Amylase), nach Abdominalchirurgie, nach Lebertransplantation, bei intraabdominalen Abszess; Lungeninfarkt, Neoplasie, Urämie, Kollagenose, rheumatoide Arthritis, medikamentös, nach Bestrahlung.

Bildgebung#

Exkurs: Pneumothorax#

Symptome#

  • Dyspnoe, Tachypnoe, Hypoxie

  • (Einseitig) abgeschwächstes Atemgeräusch, hypersonorer Klopfschaff

  • Einseitige Atemexkursionen

  • Bei Überdrückbeatmung: Steigerung der Beatmungsdrücke bzw. VErminderung der Zugvolumina

  • Tachykardie

  • Spannungspneumothorax:

    • Bradykardie und Hypotonie

    • Einflussstauung

    • Verminderung des Schlagvolumens bis hin zum Kreislaufstillstand

Der Pneumothorax im Lungenröntgen#

Direkte Zeichen:

  • Sichtbare Pleuralinie

  • Vermehrte Transparenz lateral der kollabierte Lunge

  • Fehlende Gefäßzeichnung lateral der kollabierten Lunge

Indirekte Zeichen:

  • Auffällig scharfe Miediastinal oder Zwerchfellkontur

  • Deep Sulcus Sign

  • Mediastinalverschiebung

  • Hautemphysem

Zu beachten ist jedoch, dass ein (noch) kleiner Pneumothorax je nach Strahlengang unter Umständen im Röntgen keine Konturen zeigt, sich also quasi “versteckt”.

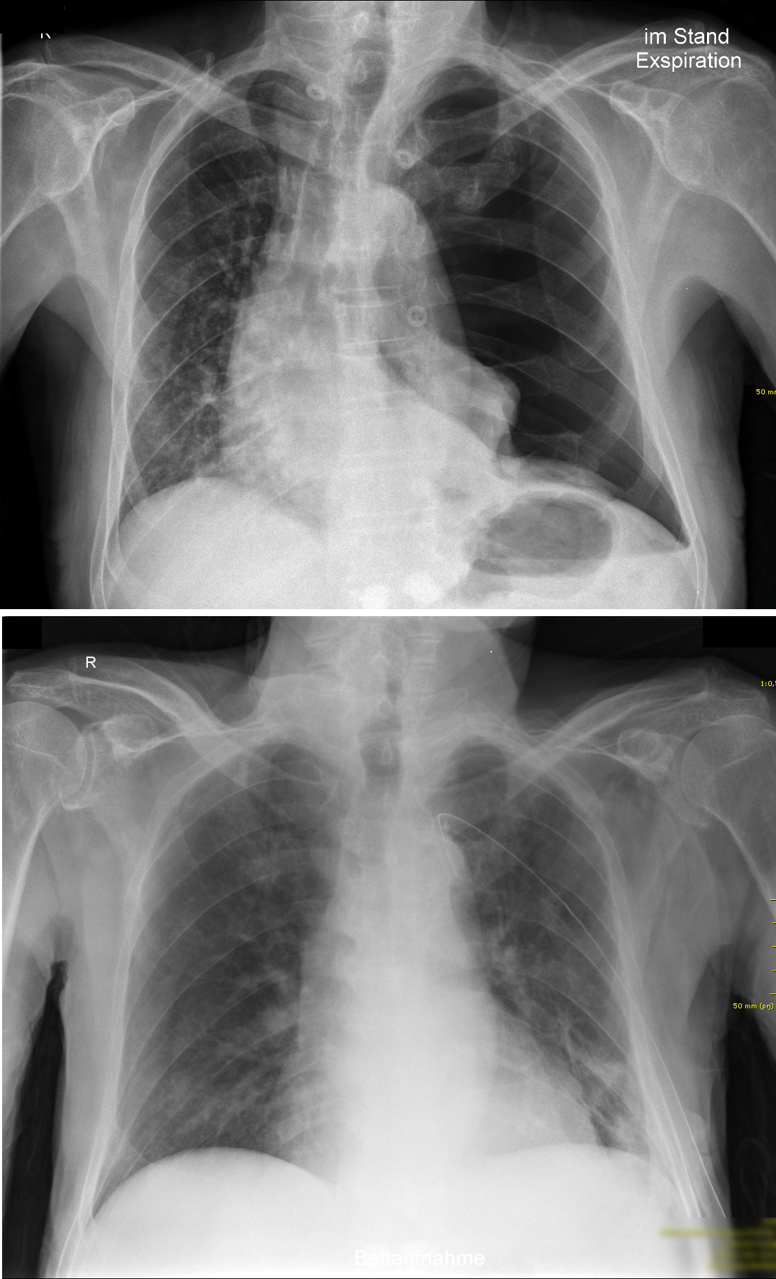
../../../_images/Spannungspneu%2BDrainage.png

Fig. 110 Ein linksseitiger Spannungspneumothorax vor (oben) und nach (unten) Anlage einer Thoraxdrainage. Gut zu sehen ist die Verlagerung des Mediastinums hin zur gesunden Seite sowie die fehlende Strukturzeichnung im linksseitigen Pneumothorax. [© Cupr78up, ℓ CC BY-SA 3.0]#

Der Pneumothorax im Ultraschall#

Der Ultraschall eignet sich auch sehr gut zur Diagnostik des Pneumothorax. Hierbei ist zu beachten, dass man den Pneumothorax selber nicht direkt darstellen kann, sondern sich indirekter Zeichen bedient. Weiter ist der Ultraschall eine punktuelle Diagnostik, folglich muss die Ultraschall-Evaluation an verschiedenen Stellen des Thorax durchgeführt werden, um eine Übersicht und eine Aussage zu ermöglichen.

B-Mode:

  • Pleuragleiten

  • Kometenschweifartefakte

  • Lungenpuls

  • Lungenpunkt

M-Mode:

  • Seashore Sign ist der Normalbefund, die atmungsbedingten Artefakte erinnern an einen Sandstrand.

  • Fehlen diese atmungsbdingten Lungenbewegungen zeigen sich im M-Mode statische Echo, welche über die Zeit als gerade Striche aufgetragen werden. Da dies an einen Strichcode erinnert, wird dieses Zeichen Barcode Sign genannt.

../../../_images/Sea_shore_sign_on_a_lung_ultrasound.jpg

Fig. 111 Das Seashore Sign im M-Mode ist ein Normalbefund, die atmungsbedingten Bewegungsartefakte erinnern an einen Sandstrand. [© Tinss, ℓ CC BY-SA 4.0]#

../../../_images/Barcode-Zeichen.jpg

Fig. 112 Barcode Sign im M-Mode: Die aufgrund des Pneumothorax unbewegten Konturen imponieren als Striche wenn die Echos über die Zeit aufgetragen werden. [© Cuprschomynv, ℓ PD]#

Pleuraerguss im Ultraschall#

Der Ultraschall eignet sich sehr gut zur Darstellung und Vermessung von Flüssigkeiten im Pleuraraum. Dadurch kann sowohl die Punktionswürdigkeit, als auch der Zugangsweg gut abgeschätzt werden.

Zu tun

#59 US: Pleuraerguss im Ultraschall

Computertomographie#

Das CT ist die wohl aufwändigste, teuerste unde strahlenbelastenste Methode, der Vorteil liegt jedoch in der Detektion auch kleiner Pneumothoraces sowie Ergüsse, als auch die Beurteilung selbiger (Ausdehnung, Kämmerung, Sekundärverletzungen, Raumforderungen etc.).

Zu tun

Rö, CT: ventraler Pneumothorax mit Hautemphysem im Rö und CT

Gefahr

Im konventionellen Thoraxröntgen kann sich, je nach Lage und Strahlengang, der Penumothorax verstecken!

Technik#

Drainagetypen#

Es sind verschiedene Typen von Throaxdrainagen mit jeweils unterschiedlichen Eigenschaften verfügbar. Die Größen werden anhand ihres Außendurchmessers von 6 Fr bis 40 Fr gemessen werden. Für Erwachsene werden üblicherweise 20 Fr bis 40 Fr verwendet. Für die Drainage von klaren Transsudaten ist beispielsweise ein dünnes Drain oft ausreichend, wohingegen zur Drainage von Flüssigkeiten, die zähflüssig sind oder zum Verklumpen neigen, sowie wenn zusätzlicher Sog angelegt werden soll, Drains mit größerem Durchmesser von Vorteil sind.

Grundsätzlich unterscheidet man also:

  • Großlumige Zugänge: Drainage von verklumpenten und proteinreichen Sekreten (Blut, Eiter, …), erlaubt die Anwendung von Sog

  • Kleinlumige Zugänge: Drainage von gut abfließenden Flüssigkeiten (Transsudat, andere klare Sekrete); kein relevanter zusätzlicher Sog möglich, nur “Schwerkraftmodus”

Für kleinlumige Systeme werden zahlreiche geschlossene oder halbgeschlossene kommerzielle Systeme angeboten, die speziell auf die Ableitung von Pleuraergüssen u. ä. spezialisiert sind. Die genaue Ausgestaltung und Anlagetechnik (meist mittels minimalinvasiver Punktionstechnik) ist sehr produktabhängig.

Das klassische, dicklumige, Thoraxdrain ist ein Kunststoffschlauch, in welchem ein Throkar eingeführt ist.

Zu tun

#31 FOTO: Bülau-Drainagen mit Trokar in unterschiedlichen Größen

Bülau-Drainagen mit Trokar in unterschiedlichen Größen

Zugangswege#

Es gibt zwei typische Zugangswege, nach Monaldi und nach Bülau.

Zu tun

#32 FOTO: Zugänge für die Thoraxdrainage

Zugänge für die Thoraxdrainage

Zugang nach Monaldi#

Der Zugang nach Monaldi befindet sich ventral medioklavikulär im 2. ICR. Er ist gut geeignet zur Entlastung eines Spannungspneumothorax, vor allem wenn dieser ventral liegt. Aufgrund einer möglichen Narbenbildung wird er eher für kleinlumige Drainagen verwendet, häufig auch mit simplen, dünnen Punktionsystemen.

Zugang nach Bülau#

Der Bülau-Zugang liegt im 3.-5. ICR in der mittleren Axillarlinie. Das als für die Punktion sichere Areal wird als Triangle of Safety bezeichnet und ist begrenzt durch den

  • Hinterrand des M. pectoralis

  • Vorderrand des M. latissimus dorsi

    1. ICR in Höhe der Mamille (in “männlich-anatomischer Normallage”)

Zugang nach Bülau ist gut geeignet zur Punktion von Flüssigkeiten und auch fürdickere Draingen.

Zu tun

#33 FOTO: Triangle of Safety

Triangle of safety: Begrenzung Hinterrand des M. pectoralis, Vorderrand des M. lat. dors. und Mamille (mittlere Axillarlinie)

Zu tun

#34 GRAFIK: Schema einer Pleuradrainage mit Wasserschloss

Schema einer Pleuradrainage mit Wasserschloss

Ventil- und Sammelsysteme#

Um den Luft- bzw- Sekretaustritt zu ermöglichen, aber gleichzeitig zu verhindern, dass Luft retour in den Pleuraspalt eintritt, kommen Ventilsysteme zum Einsatz. Das einfachste System ist das Heimlich-Ventil (Fig. 113). Es besteht aus zwei länglichen Gummimembranen, welche um den Ausfluss angelegt sind, sodass Luft hinausströmen kann. In umgekehrter Richtung verschliessen die Membranen jedoch das Lumen.

../../../_images/Heimlich_valve.png

Fig. 113 Heimlich-Ventil [© Orinoco-w ℓ CC BY-SA 3.0]#

../../../_images/IMG_002947.001341px.jpg

Fig. 114 Patient mit einem traumatischen Pneumothorax unter Reanimation, Bülau-Drainage mit Heimlich-Ventil in Monaldi-Position#

[© GaSe, ℓ MfG]

Eine praktikablere Form stellt das Wasserschloss dar: Hierbei endet die Drainage in einer Flüssigkeit, deren Spiegel unterhalb des Patienten positioniert wird. Um diese Flüssigkeit anzusaugen ist, je nach Tiefe des Spiegels, aufgrund des hydrostatischen Drucks ein erheblicher Sog notwendig, welcher, wenn die Flüssigkeit tief genug positioniert ist, während der Inspiration nicht erreicht wird.

../../../_images/cmH20.001341px.jpg

Fig. 115 Physik des Ballermann-Urlaubs, Teil I: Um einen Margarita über 1 Meter anzusaugen, wird ein Sog von -100 cm H₂O benötigt. Nach dem gleichen Prinzip funktioniert ein Wasserschloss.#

Während des Atemzyklus kann man atemsynchrone Pendelbewegungen der Flüssigkeitsspiegel im System wahrnahmen (“Spielen”). Fehlen diese, kann dies Hinweis auf eine Obstruktion (Verstopfen durch Koagel, Abknicken der Drainage etc.) sein. Weiters kann man in der Flüssigkeit die Luft in Form von Luftblasen beobachten, welche über die Drainage gefördert wird (Leckage).

Schaltet man vor dem eigentlichen Wasserspiegel Sammelbehälter davor, können über diese Sekrete gesammelt werden. Weiter ist das Anschließen einer Sogquelle möglich, um die Expansion des Lungenflügels zu unterstützen.

../../../_images/IMG_114533.001341px.jpg

Fig. 116 Wasserschloss, unter dem Patientenbett positioniert#

Eine Weiterentwicklung stellen elektronische Systeme, wie z. B. das Medela™-System, dar. Diese portablen Systeme erlauben nicht nur die komfortable Einstellung und Generierung des Sogs, etwaige Leckagen werden aufgezeichnet und können im Zeitverlauf betrachtet werden.

Zu tun

#35 FOTO: Medela™-System

Anlage#

Die Anlage erfolgt grundsätzlich immer unter streng sterilen Kautelen.

Nach Möglichkeit soll immer ein Ultraschall vor Punktion durchgeführt werden um die optimale Position für die Anlage der Drainage zu ermitteln. Im Notfall, wenn keine Sonographie verfügbar ist, soll nicht unterhalb des 4. ICR punktiert werden, um Leber, Milz oder Darmverletzungen zu vermeiden.

Überblicksmäßige Beschreibung:

  • Hautdesinfektion, sterile Abdeckung

  • Lokalanästhesie

  • Hautincision von 4-5 cm mit Skalpell

  • Stumpfes Präparieren mit dem Zeigefinger oder mit stumpfer Kornzange

  • IMMER am Oberrand der Rippe: Die Gefäßnervenscheide verläuft am Unterrand der Rippe!

  • Die Pleura tastet sich als prall- elastischer Widerstand

  • Eröffnung Pleura, Trokar in das Drain zurückziehen, Drain vorsichtig entlang Finger einbringen. Alternativ ist auch eine Führung mittels einer Kornzange o.ä. möglich.

  • Anschluss Wasserschloss mit Sog, Nahtfixation des Drains

  • Wundverschluss mit U-Naht (Tabaksbeutelnaht)

Warnung

Der Throkar dient nur zur Führung des Drains, keinesfalls zur Punktion!

Zu tun

Bilderserie: Anlage einer Thoraxdrainage

Komplikation#

  • Fehllage

    • Extrathorakal, Intraparenchymal, Abdominal

  • Verletzung

    • Lungenparenchym, Gefäße, Bauchorgane

    • Hämatothorax

  • Reexpansionslungenödem

  • Infektion

Weiterführende Ressourcen